Los nuevos tratamientos biológicos logran tasas de aclaramiento superiores al 90% y reducen el riesgo de complicaciones graves.
La compresión de la arteria coronaria principal izquierda (LMCA) por dilatación de la arteria pulmonar representa una complicación subdiagnosticada de la hipertensión pulmonar severa, con prevalencia del 6%.
El fenómeno meteorológico más potente en la historia moderna de la región mantiene en emergencia a varios países del Caribe, con Cuba en alerta máxima ante su paso inminente
Estudio revela que el exceso de peso en niños modifica su forma de caminar, incrementa el riesgo de lesiones futuras y puede afectar su autoestima y participación social.
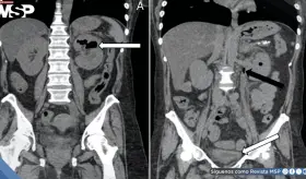
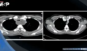
El caso destaca la importancia del reconocimiento temprano mediante tomografía computarizada y el manejo agresivo con drenaje percutáneo y antibioticoterapia de amplio espectro.
Un equipo de investigadores desarrolló un material bioactivo capaz de integrarse directamente con el tejido óseo y estimular su crecimiento natural.
Experto destacó los progresos en el tratamiento del cáncer renal mediante cirugía robótica e inmunoterapia, mientras alertó sobre videos fraudulentos que utilizan su imagen para vender medicamentos falsos.
Aunque la manzanilla es reconocida por sus propiedades calmantes y digestivas, su consumo excesivo puede afectar al organismo y provocar efectos adversos poco conocidos.
Se calcula que existen más de 100.000 quiroprácticos activos y millones de personas recurren a ellos por dolencias musculoesqueléticas, especialmente lumbalgia, dolor cervical, rigidez postural o cefaleas tensionales.
La paciente, quien había adoptado un gato callejero seis meses antes, consultó por disminución visual aguda del ojo izquierdo con escotoma central de una semana de evolución.
Expertos puertorriqueños explican cómo la medicina ha transformado el tratamiento del cáncer de seno en las últimas décadas, ofreciendo mejores resultados oncológicos y mayor calidad de vida para las pacientes










