La presencia de ampollas llenas de líquido, pueden causar picazón y dolor intenso en los pacientes.
#MSPOncología | El linfoma no Hodgkin es el más común de los dos tipos, y aún se desconocen las causas de este linfoma. El linfoma no Hodgkin es el sexto cáncer más diagnosticado en los hombres y mujeres (2012 - 2016) en Puerto Rico.
#InfografíaMSP | ¡Día mundial del linfoma!
Las dolencias en la espalda, suelen ser consecuencia de una disfunción de la vesícula biliar.
Por sí solos, los sudores nocturnos no suelen deberse a un trastorno subyacente grave, pero si van acompañados de otros síntomas podría tratarse de leucemia.
La agencia reguladora estadounidense autoriza las tabletas sublinguales de ciclobenzaprina para tratar esta condición de dolor crónico que afecta principalmente a mujeres.
La joven inicialmente fue diagnosticada con anemia, pero en realidad padecía de algo mucho más grave.
La perforación septal permitió el drenaje parcial pero insuficiente del contenido menstrual. Esta clasificación tiene implicaciones terapéuticas directas, siendo la resección quirúrgica completa del tabique obstructivo (marsupialización) el tratamiento definitivo.
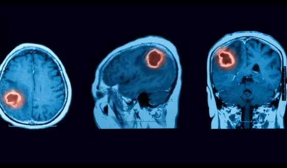
Según estudios, las personas que sufrieron algún traumatismo craneal, tienen casi cuatro veces más probabilidades de desarrollar un tumor cerebral
¿Sabías qué la principal diferencia entre estos dos tipos de linfoma es que si se detecta la presencia de un tipo específico de células anormales llamadas "Células Reed-Sternberg" el linfoma se clasifica como no Hodgkin?









