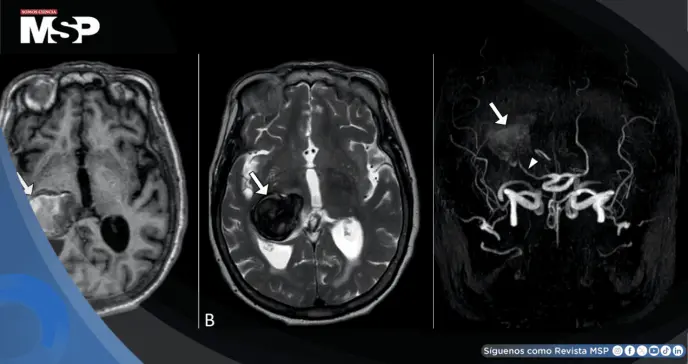
El aneurisma, detectado mediante una resonancia magnética, representaba un alto riesgo de ruptura y muerte, lo que obligó a una intervención urgente.

Un hombre de 64 años acudió a urgencias aquejado por un dolor de cabeza insoportable y problemas de visión. Describió el dolor como un latido intenso y repentino en el lado derecho de su cabeza, que calificó con un 9 sobre 10 en intensidad.
Este malestar no mejoraba con el reposo ni cambiando de postura. Junto al dolor, el paciente experimentaba visión borrosa y destellos de luz en su campo visual derecho, síntomas que habían ido empeorando de manera progresiva durante la última semana.
También mencionó tener náuseas leves y ocasionales. Aunque su historial médico incluía hipertensión y diabetes, ambas condiciones estaban controladas con medicación.
Al examinar al paciente, los médicos encontraron que sus signos vitales, como la presión arterial, eran normales. Sin embargo, la exploración neurológica reveló que el hombre presentaba una hemianopsia homónima derecha.
Esto significa que había perdido la capacidad de ver en el mismo lado del campo visual de ambos ojos (el derecho), un defecto muy específico. El resto de la exploración, incluyendo su fuerza y coordinación, era normal.
Los análisis de sangre no mostraron signos de infección o inflamación, lo que descartaba otras causas. El diagnóstico llegó con una resonancia magnética cerebral, que mostró una dilatación anormal y gigante en la arteria cerebral posterior derecha, confirmándose que se trataba de un aneurisma.


Los aneurismas en esta arteria en particular son bastante raros, siendo solo alrededor del 1% de todos los aneurismas intracraneales. Sin embargo, tienen una característica que los hace especialmente relevantes: tienden a ser de gran tamaño.
La arteria cerebral posterior es una carretera principal que suministra sangre a áreas vitales del cerebro responsables de la visión, como el lóbulo occipital. Cuando un aneurisma se forma y crece en esta zona, puede presionar las estructuras circundantes, lo que explica por qué este paciente sufría de alteraciones visuales tan específicas.
Dado el alto riesgo de que un aneurisma de este tamaño pudiera romperse y causar una hemorragia cerebral potencialmente mortal, se actuó con celeridad. Un equipo formado por neurólogos, neurocirujanos y radiólogos intervino para decidir el mejor tratamiento.
Se optó por un procedimiento mínimamente invasivo conocido como "colocación de espirales endovasculares" o coiling. Este técnica consiste en introducir un catéter por la arteria hasta llegar al aneurisma y rellenarlo con espirales de platino para sellarlo y evitar que sangre. Tras el procedimiento, que fue un éxito, el paciente mostró una mejoría notable. Su fuerte dolor de cabeza remitió y las alteraciones visuales comenzaron a resolverse, todo ello sin complicaciones durante su recuperación en el hospital.
Este caso clínico (Albalawi AA, Alghamdi MA, Alkuraydis SF, et al.), subraya la importancia de reconocer los síntomas de un aneurisma cerebral, como un dolor de cabeza súbito y devastador combinado con déficits neurológicos focales como los problemas de visión.
Aunque los aneurismas de la arteria cerebral posterior son infrecuentes, su potencial para ser grandes y peligrosos requiere una alta sospecha clínica. Las técnicas de imagen modernas son fundamentales para un diagnóstico preciso y rápido.
Para este paciente, el tratamiento con espirales endovasculares demostró ser una opción eficaz y menos invasiva que la cirugía abierta, demostrando el valor de un enfoque multidisciplinario para lograr el mejor desenlace posible en casos de anomalías vasculares cerebrales complejas.