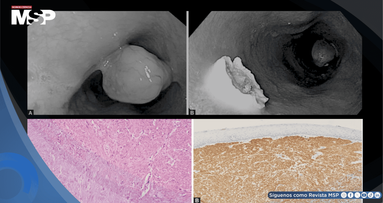
El pólipo, de aproximadamente 3 × 1.7 × 1.5 cm, fue identificado mediante endoscopia y resecado completamente por polipectomía con asa diatérmica, con confirmación histopatológica de leiomioma positivo para Desmina y anticuerpo anti-músculo liso.

Una paciente de 65 años, con antecedentes de carcinoma mamario derecho tratado con mastectomía y quimioterapia en 2018, acudió a la consulta de Gastroenterología por disfagia y pérdida de peso de 4 meses de evolución.
La disfagia, que ocurría inmediatamente después de iniciar la deglución, era progresiva inicialmente para sólidos y luego para líquidos y se asociaba con regurgitación de partículas de alimento, pirosis y dolor torácico.
Derivada para endoscopia digestiva alta (EDA), tanto los estudios hematológicos como bioquímicos realizados en el departamento resultaron normales.
La EDA, realizada con equipo Olympus serie 190, reveló a 20 cm de los incisivos un pólipo pediculado de grandes dimensiones, cubierto por mucosa de aspecto normal y de aproximadamente 3 × 1.7 × 1.5 cm.
La superficie de la cabeza y el pedículo del pólipo no mostraban irregularidades, y ambas zonas teñían de forma homogénea con solución de Lugol. Al tacto con pinzas, el pedículo se mostró blando y flexible. El pólipo fue resecado completamente mediante polipectomía con asa diatérmica.
El análisis histopatológico de la cabeza y el pedículo reveló la presencia de un leiomioma esofágico (LE), con tinción positiva para Desmina y anticuerpo anti-músculo liso. Tras la polipectomía, los síntomas de la paciente se resolvieron por completo, con desaparición de la disfagia y mejoría clínica general.
Este caso (Butt, Nazish et al.), describe un LE en una mujer de edad avanzada, un dato relevante ya que las escasas publicaciones anteriores de LE en forma de pólipo pediculado se habían reportado exclusivamente en pacientes masculinos.
Los leiomiomas son las lesiones benignas más frecuentes del esófago, representando aproximadamente el 1% de sus neoplasias. Sin embargo, suelen ser de localización intramural y originarse en la capa muscular propia.
La presentación como un pólipo pediculado de gran tamaño es excepcional. Esta variante polipoide se origina típicamente en la muscularis mucosae y debe diferenciarse de otras entidades, como el pólipo fibrovascular gigante, que suele localizarse en la unión faringoesofágica.
Hasta la fecha, solo existen dos casos publicados en la literatura que describan un LE con esta morfología polipoide. Un reporte previo de Kuo en 2004 documentó un caso de leiomatosis esofágica difusa con un pólipo pediculado, resecado también con éxito por vía endoscópica. En nuestro caso, el hallazgo y la resección completa de la lesión mediante polipectomía con asa caliente resultaron en la resolución sintomática de la paciente.
El leiomioma esofágico como pólipo pediculado de gran tamaño constituye una entidad benigna sumamente rara. Su diagnóstico se confirma mediante el estudio histopatológico, y la resección endoscópica completa con asa de polipectomía se erige como un tratamiento eficaz y resolutivo, tal como se demostró en el presente caso.