El caso destaca la importancia del reconocimiento temprano mediante tomografía computarizada y el manejo agresivo con drenaje percutáneo y antibioticoterapia de amplio espectro.

Una paciente de 45 años, acudió al servicio de urgencias refiriendo dolor abdominal de tres meses de evolución, con exacerbación aguda en las últimas 24 horas.
El dolor era de características agudas, localizado en cuadrante superior izquierdo con irradiación a región lumbar, acompañado de náuseas y disuria. Como único antecedente relevante, la paciente padecía diabetes mellitus tipo 2.
Al examen físico se encontraba hemodinámicamente estable inicialmente, con temperatura de 37.7°C y signos de sensibilidad abdominal difusa, predominantemente en cuadrante superior izquierdo. El signo de Giordano izquierdo resultó positivo, sugiriendo compromiso renal.
Los estudios de laboratorio revelaron alteraciones significativas: leucocitosis marcada (15,100 células/µL) con neutrofilia del 81.7%, hiperlactatemia severa (9.1 mmol/L), hiperglucemia (308 mg/dL), y deterioro de la función renal con creatinina elevada.
El análisis de orina mostró piuria masiva, nitritos positivos y esterasa leucocitaria, confirmando infección urinaria. Adicionalmente, presentaba hipopotasemia e hipomagnesemia severas.
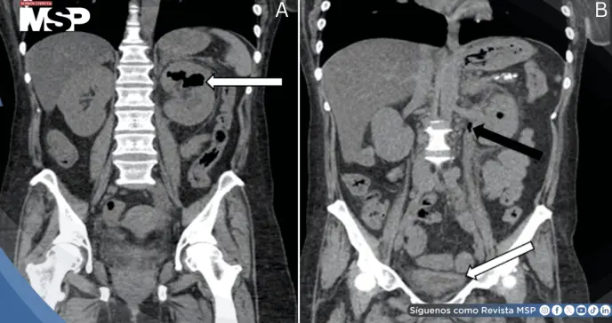
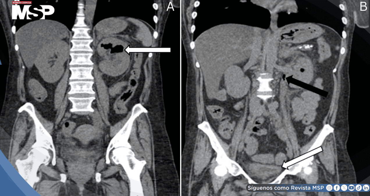
Durante la reevaluación, ante el deterioro clínico con taquicardia y dolor progresivo, se realizó tomografía computarizada de abdomen y pelvis sin contraste. Las imágenes demostraron hidronefrosis izquierda con presencia de gas en el sistema colector renal, hallazgo patognomónico de pielitis enfisematosa.
También se identificó hidrouréter, engrosamiento de la pared vesical y edema perivesical, sugiriendo propagación ascendente de la infección.
A pesar de la reanimación agresiva con cristaloides y el inicio inmediato de antibioticoterapia de amplio espectro (ceftriaxona y piperacilina-tazobactam), la paciente presentó rápido deterioro hemodinámico.
Desarrolló hipotensión refractaria que requirió soporte vasopresor con norepinefrina, fiebre de 38.1°C y taquicardia persistente, cumpliendo criterios de shock séptico.
Se intentó inicialmente la colocación de stent ureteral por urología, procedimiento que no fue exitoso. Ante esta complicación, radiología intervencionista realizó nefrostomía percutánea izquierda de urgencia para drenaje del sistema colector infectado.
La paciente requirió ingreso a la unidad de cuidados intensivos para manejo del shock séptico y reposición electrolítica intensiva.
Los cultivos microbiológicos aportaron información relevante: el urocultivo identificó Escherichia coli, mientras que el aspirado del tubo de nefrostomía reveló infección polimicrobiana con E. coli, Streptococcus anginosus y Corynebacterium.
Este último hallazgo resultó particularmente significativo, ya que Corynebacterium urealyticum, patógeno oportunista multirresistente con actividad ureasa, podría explicar la rápida progresión clínica observada.
Tras un curso hospitalario complejo pero favorable, la paciente fue dada de alta. El seguimiento a 36 días con nueva tomografía computarizada documentó resolución completa de los hallazgos radiológicos. El tubo de nefrostomía se retiró al día 37 sin complicaciones posteriores.
Este caso, según (Manpreet Singh et al.,) ilustra varios aspectos críticos de la pielitis enfisematosa: su presentación con síntomas inespecíficos que pueden retrasar el diagnóstico, la asociación con diabetes mellitus no controlada como principal factor de riesgo, y el potencial de deterioro fulminante.
La mortalidad asociada a estas infecciones puede alcanzar el 20-70% según la clasificación, siendo el reconocimiento temprano mediante tomografía computarizada y el drenaje urgente del sistema colector los pilares fundamentales del tratamiento.
La identificación de Corynebacterium en el aspirado percutáneo, además de los patógenos típicos gramnegativos, subraya la importancia de considerar infecciones polimicrobianas y la necesidad de cobertura antibiótica de amplio espectro en pacientes críticamente enfermos.
El manejo exitoso requiere un enfoque multidisciplinario que integre reanimación hemodinámica, control metabólico estricto, antibioticoterapia dirigida y procedimientos de drenaje urgente cuando esté indicado.